HİSTOLOJİ
ÜRİNER
SİSTEM HİSTOLOJİSİ
Necdet
Ersöz
Gazi Üniversitesi Tıp Fakültesi
Gazi Üniversitesi Tıp Fakültesi
Bu yazıda, üriner
sistem yapılarının genel fonksiyonları ve histolojisine ait literatür
paylaşılacaktır. Görüntülerin net olarak okunmaması durumunda görüntülerin üzerine tıklayabilirsiniz.
Üriner sistem, normal
koşullarda bir çift böbrek,
böbreklere ait üreterler, idrar kesesi ve üretradan meydana gelir. Üriner
sistemin primer görevi, kan içeriğinin optimal sınırlar içerisinde
tutulmasıdır. Bu görevde, böbrekler önemli bir rol üstlenir. Böbreklerin
vücuttaki genel rolleri, renal fonksiyonun oldukça kompleks kombinasyonlarını
kapsamaktadır. Bunlar aşağıda basitçe özetlenmiştir:
·
Vücut sıvılarında su, elektrolit ve
asit-baz dengesinin regülasyonu
·
İdrar ve fazla su vasıtasıyla
metabolizma sonucu oluşan atıkların vücuttan uzaklaştırılması
·
Birtakım biyoaktif substansların atımı
(ilaçlar gibi)
·
Renin
sekresyonu yoluyla arteriyel kan basıncının kontrolü
Renin, kan basıncı ve
su dengesinin kontrolünde oldukça önemli olan, kana sekrete edilen ve
anjiyotensinojenden anjiyotensin I oluşumunu uyaran bir proteazdır. Diğer renal
fonksiyonlar, aşağıdaki gibi özetlenebilir:
·
Eritropoietin sekresyonu (kan oksijen
seviyesi düştüğünde kanda eritrosit sentezini uyaran glikoprotein)
·
Steroid prohormon vitamin D’nin aktif
form olan 1,25-dihidroksivitamin D3’e dönüşümü (kalsitriol oluşumu)
·
Glukoneojenez (uzun süreli açlık
esnasında aminoasitlerden glikoz yapımı) (bu mekanizmanın esas lokasyonu
karaciğerdir)
Böbreklerde atık
maddelerin birikimiyle ve kanın süzülmesiyle oluşan idrar, üreterlerden idrar
kesesine (mesane) gelir. Burada geçici olarak depolandıktan sonra, belli bir
miktarın üstüne çıkan idrar, idrar atımını uyarır. Böylece üretra vasıtasıyla
idrar dışarı atılır.
Böbrekler
Her bir böbrek konkav
bir medyal sınır (hilum) ile konveks bir lateral yüzeye sahiptir. Bu iki yüzey
de fibröz renal kapsül ile kaplıdır. Hilum
bölgesi, böbreğe renal arter, ven, lenfler, üreter ve sinirlerin giriş yaptığı
bölgedir. Hilumda üreterin üst ucu renal
pelvis (böbrek pelvisi) olarak adlandırılır. Renal pelvis, böbreğin içine
doğru 2-3 adet majör kaliksi (büyük
havuzcuk) meydana getirir. Majör kalikslerden de sayıları biraz daha fazla olan
minör kaliksler (küçük havuzcuk)
dallanmaktadır.
Her bir böbrek dış
kısma doğru korteks ve iç kısma
doğru medulla adı verilen yapılardan
meydana gelir. Korteks, korpüsküller ve tübüler yapılardan oluşan, koyu renkli
bir bölge iken, insanlarda renal medulla 8-12 adet renal piramit adı verilen konik
yapılar barındırır. Renal piramitler, birbirlerinden renal kolonlarla ayrılır. Her bir konik piramit, tabalarındaki
kortikal doku ve çevresiyle bir renal
lob oluşturur. Medulladan kortekse uzanan çizgilere medüller ray adı verilir. Her bir piramidin başında minör
kalikslere uzanan ve tübüllerde oluşan idrarı toplayan renal papillalar bulunur.
Her bir böbrek,
yaklaşık olarak 1 milyon kadar nefron
adı verilen fonksiyonel ünitelere sahiptir. Nefronlar, boylu boyunca basit, tek
katlı bir epitel içerir. Nefronların temel kısımları aşağıdaki gibidir:
·
Renal
korpüskül, yoğun kapiller ağ içeren yuvarlak yapı. Her zaman kortekste lokalizedir.
·
Proksimal
tübül, uzun ve kıvrımlı kısım. Büyük oranda kortekste
bulunur; fakat medullaya giren kısımları mevcuttur.
·
Henle
kulpu, medullada bulunur ve ince ascending ve descending
kollara sahiptir.
·
Distal
tübül, Henle kulpundan düz bir şekilde çıkan ve kortekse
geri giren kalın kısım ve kortekste kıvrımlı kısımdan oluşur.
·
Connecting
tübüller, nefron ile collecting kanalları bağlayan kısa, son
uçtur.
Connecting tübüller,
daha büyük toplayıcı kanallar oluşturmak üzere bir araya gelir. Bunlar idrarın
minör kalikse geldiği bölgede birleşir. Kortikal
nefronlar neredeyse tamamen kortekste lokalize iken jukstamedüller nefronlar (tüm nefronların yaklaşık 1/7’si)
medullaya çok yakın bir yerde uzanır; ayrıca bunların uzun Henle kulpları
vardır.
Böbrek kesitinin genel illüstrasyonu. Her bir böbrek fasulyeye benzer şekilde, medyalde konkav bir hilum kısmı ve konveks lateral kısımdan meydana gelir. Böbreği fibröz bir kapsül sarar. Hilum, kan damarları, sinirler, lenfatikler ve üreterin bulunduğu bölgedir. Üreter, böbreğin iç kısmına doğru majör ve minör kaliksleri oluşturur. Bu bölgede adipoz doku birikintisi görülür. Minör kaliksler, medullada renal piramitlerle devamlıdır.
Tıbbî
Yaklaşım: Polikistik Böbrek Hastalığı
Polikistik böbrek
hastalığı sıvı dolu, büyük ve çoklu kistler nedeniyle normal kortikal
organizasyonunun bozuk olduğu böbreklerle karakterize kalıtsal bir bozukluktur.
Kistler nefronun herhangi bir epitel hücre kitlesinden kaynaklanabilir ve
böbrekte gözle görülür biçimde şişkinler meydana gelir. Bunlar neticesinde
renal fonksiyonlar kaybedilir.
Kan
Sirkülasyonu
Böbrek damarlanması
geniş, iyi organize ve nefronlarla oldukça yakın ilişkilidir. Böbreğin kan
damarları bulundukları bölgeye ve şekillerine göre isimlendirilir.
Her bir böbreğe normal
koşullarda bir adet renal arter ulaşır.
Bu renal arter, hilum bölgesinde birden fazla dala ayrılabilir. Renal pelvis
civarındaki dallanmalar sonucunda oluşan yeni dallara interlobar arterler adı verilir. Interlobar arterler renal
piramidlerin arasından uzanarak kortikomedüller bağlantıya ulaşır. Burada
interlobar arterler arcuate arterleri
meydana getirmek üzere dallanır. Arcuate arterler her bir piramidin baz
kısmındaki ark boyunca uzanır ve daha küçük olan interlobular (kortikal radyal) arterleri oluşturur. Interlobular
arterler de korteksin derinlerine doğru dallanır. Interlobular arterlerden
mikrovasküler boyutlarda afferent
arterioller oluşur. Afferent arterioller, renal korpüskül içerisinde
bulunan glomerulusları meydana
getirecek şekilde son derece küçük kapillere dönüşür. Glomeruluslar, kan filtrasyonunun olduğu mikro damarlardır. Süzme işlemi gerçekleşen kan, glomeruluslardan
ayrıldıktan sonra hemen venüllere girmez; ilk olarak efferent arteriyollere
gelir. Efferent arteriyoller de kortekse
dağılmış vaziyette bulunan peritübüller
kapillere ya da medulladaki Henle
kulpu paralel dallanmaları olan vasa
rectaya uğrar. Burada kan, genellikle peritübüller kapillerlerden geçtiği
için, korteksin kanlanması, medulladan yaklaşık 10 kat daha fazladır.
Her iki dallanmadan da
geçen kan, venlere girmelidir. Burada kanın takip ettiği damarlar, lokalizasyonlarına
tıpkı arterlerde olduğu gibi adlandırılmıştır.
Nefron illüstrasyonu. Her bir böbrek yaklaşık 1 milyon adet fonksiyonel birim içerir. Bu fonksiyonel birimlere nefron adı verilir. Her nefron filtrasyonun gerçekleştiği glomerüler kapilleri saran bir renal korpüsküle ve bu korpüskülden uzanan proksimal kıvrımlı tübüllerle proksimal düz tübüllere sahiptir. Proksimal düz tübüller, medullaya giriş yeridir. Bu tübül, ince descending ve ascending tübüller olarak devam eder ve Henle kulpunu meydana getirir. Açı yapan tübüller tekrardan kortekse döner. Glomerüle giren arteriyollerin olduğu yerde arteriyollerle kontakt kuran tüp, burada kalınlaşarak macula densa ismini alır. Macula densadan devam eden tübüle distal kıvrımlı tübül adı verilir. Toplayıcı kanala gelmeden önceki kısa tübüle de connecting tübül adı verilir. Bir toplayıcı kanal üzerinde pek çok connecting tübül bulunur. Toplayıcı kanala gelen idrar, bureradan kalikslere geçerek üreterden devam eder.
Tıbbî
Yaklaşım: Glomerüler Hastalıklar
Renal korpüsküllerden kaynaklanan pek
çok glomerüler hastalık bulunmaktadır. Patologlar tarafından bu hastalıkların
kesin diagnozu böbreğin korteks kısmından alınan örnekler ve TEM ya da
immünofloresan ışık mikroskopları yoluyla yapılan renal korpüskül taramalarıyla
mümkün olabilmektedir.
Renal
Fonksiyonlar: Filtrasyon, Sekresyon ve Reabsorpsiyon
Böbreğin tüm önemli
fonksiyonları nefronların özelleşmiş epitel katman hücreleri ve toplayıcı
sistemlerle gerçekleştirilir. Renal fonksiyonlar bazı spesifik aktivitelerde
görev alır:
·
Filtrasyon: kandaki su ve solütler
vasküler kısımdan ayrılarak nefron lümenlerine girer.
·
Tübüler sekresyon: substanslar
tübüllerin epitellerinden lümene doğru gelir.
·
Tübüler reabsorpsiyon: substanslar
lümenden interstisyum ve çevreyelen kapillere gelir.
Nefron tübülleri ve
toplayıcı sistem boyunca pek çok molekül absorbe edilirken diğerleri minör
kalikslere ulaşarak idrar şeklinde atılır.
Yaşlılıkta nefron
sayısı bir miktar azalır. Bu durumun yüksek kan basıncı ile ilişkisi vardır. Eğer
böbreklerden biri nakil için bağışlanırsa (unilateral nefrektomi), kalan böbrek
buna yanıt olarak büyüme eğilime sahip olur, nefron tübüllerinin proksimalinde
sellüler hipertrofi gösterir ve filtrasyon verimini yükseltir.
Böbreğin kanlanması. Koronal kesitte önemli kan damarlarına ait diyagram görüyoruz. Sağdaki diyagram, böbreğin mikrovasküler kanlanmasına aittir. Pembe kutucuklar arteriyel kan damarlarını ve maviler venöz dönüşü göstermektedir. Mor renkli kutucuklar ve damarlar da geri emilen materyallerin kana tekrar döndüğü bölgeleri temsil etmektedir.
Tıbbî
Yaklaşım: Glomerülonefritis
Glomerüllerin enflamasyonuna
glomerülonefritis adı verilir. Akut ve kronik olarak gelişebilmekte olup
genellikle humoral immün reaksiyonlardan kaynaklanır. Bu hastalıkta
antikor-antijen komplekslerinin glomerüllerde depozisyonu ya da glomerüllerde
farklı yerden antikorların glomerüllere bağlanması görülebilir. Kaynağına
bakmaksızın biriken immün kompleksler lokal inflamatuvar cevaplarla ortaya
çıkar.
Renal
Korpüsküller & Kan Filtrasyonu
Nefronlar, renal
korpüskül adı verilen bir yapı ile başlar. Renal korpüskül, yaklaşık 200 mikron
çapında, glomerüler kapilleri içeren çift duvarlı epitel kapsülle (Bowman kapsülü) çevrili bir yumaktır. İç
(visseral) katman glomerül kapillerini yakinen çevreler. Dış (parietal) katman
da korpüskülün dış yüzeyini oluşturur. Bu iki kapsüler katmanın arasındaki
üriner (kapsüler) boşlukta sıvı yer alır. Her bir renal korpüskül afferent ve
efferent arteriyollerin giriş/çıkış yaptığı bölge olan vaskül pol içerir. Ayrıca, korpüskülün devamında tübüler pol adı verilen proksimal
kıvrımlı tübüllerin (PCT) başlangıç bölgesini de içerir. Glomerüler kapsülün
dış parietal katmanı, dışta bazal lamina
ile desteklenen simple skuamöz epitel
doku içerir. Tübüler pol civarında epitel doku, skuamözden simple küboidal epitel dokuya dönüşür ve proksimal tübülü
oluşturur. Renal korpüskülün visseral katmanı podosit adı verilen stellat epitel hücreler ve filtrasyon
fonksiyonu gören kapiller endotel hücreler içerir. Her bir podositin hücre
gövdesinden, primer proses çıkar ve
bu uzantılar, glomerüler kapillerler boyunca devam eder. Her bir primer proses,
pedisel adı verilen ikincil pek çok
paralel dallanmalar meydana getirir. Pediseller, kapiler yüzeyini büyük oranda
kaplar ve bazal lamina ile bağlantılar oluşturur. Bu sıkı ve birbirinin içine
geçmiş durumdaki pedisel yapıları arasında filtrasyon
slit porları adı verilen boşluklar bulunur. Porların genişliği yaklaşık 25-30 nanometre boyutundadır. Komşu
pediseller arasında köprü görevi yapan slit
diyaframlar yer alır. Slit diyafram yapıları, nefrin ve diğer önemli fonksiyonel glikoprotein ve proteoglikanları
içeren, özelleşmiş sıkı bağlantılardır. Kapillerin boşluklu endoteli ve
çevreleyen podositlerin arasında kalın, glomerüler
basement membran (GBM) bulunmaktadır. Bu membran, en önemli filtrasyon
bariyerlerinden olup kanı kapsüler boşluktan ayırır. Basement membranda bulunan
laminin ve fibronektin podositlerin ve endotel hücre membranlarının
integrinlerine, tip IV kollajen örgüsüne ve büyük proteoglikanlara bağlanır. Plazmadan
filtre edilen daha küçük proteinler degrede olur, aminoasitler proksimal
tübülden geri emilir. Glomerüler membrandaki polianyonik GAGlar oldukça fazla
sayıdadır ve negatif yükleri nedeniyle organik anyonların filtrasyonunu
engellenmeye eğilimlidir.
Fiksasyon öncesinde karmin boya ile boyanan bir kortikal damarlanma seksiyonu. Küçük interlobular arterler (I) arcuate arterlerden dallanır ve afferent arteriyolleri (A) oluşturur. Afferent arteriyoller glomerüler kapillere kan getirir. Her bir glomerülüs (G) yoğun kapiller ağ içerir ve buradan geçen kan, efferent arteriyollere ulaşır. Efferent arteriyollerden gelen kan buradan peritübüler dallanmalara (PT) geçerek korteks içerisine dağılır. Kan buradan venöz dönüşe girer.
Filtrasyon, aşağıdaki
üç yapıyı takiben gerçekleşir:
·
Kan hücreleri ve plateletlerin geçişini
engelleyen kapiller endotel
fenestrasyonları.
·
GBM
(kalın bazal lamina). Bazı büyük proteinlerin ve organik
anyonların geçişi engellenir.
·
Pediseller arasındaki filtrasyon slit diyaframları. Küçük
proteinlerin ve bazı anyonların geçişi engellenir.
Bu üç aşamalı
filtrasyon sonucunda idrar oluşumuna katılacak olan maddeler kandan ayrılır;
kan, yoluna efferent arteriyoller ile devam eder.
(a) Renal korpüskül, glomerülüs adı verilen yoğun bir kapiler ağa sahiptir. Bu ağ, glomerüler kapsül ile çevrelenmiştir. Kapsülün iç katmanı podosit adı verilen özel epitel hücreleri barındırır. Podositlerin, pedisel isimli uzantıları bulunur. Kan, glomerülüse afferent/efferent arteriyollerle giriş/çıkış yapar. Süzülen maddeler proksimal convoluted tübülden devam eder.
(b) Mikroskop görüntüsünde renal korspüskülün önemli histolojik yapılarını görmekteyiz. Yoğun bir kapiller ağa sahip olan glomerülüs (G), kapsüller boşluk (CS) ile çevrili olup bu boşluk da Bowman kapsülünün parietal katmanıyla (PL) kaplıdır. Korpüskülün yanında nefronun macula densası (MD), proksimal convoluted tübül (PCT) ve distal convoluted tübül (DCT) seksiyonu görülmektedir.
(c) Kapilleri saran filtrasyon membranında, kapiller fenestrasyonlarda ve filtrasyon slitlerde (pedisellerin arasında) bir basınca maruz kalan kan plazmasından oluşan filtrat, kan plazmasından ayrılarak idrar oluşumuna katılır.
(d) Taramalı elektron mikroskop (SEM) görüntüsünde podosit, pedisel ve glomerüler kapilleri saran prosesleri görüyoruz. (x800)
Glomerüler filtrasyon bariyeri üç katmanlı bir yapıdadır. Bunlar fenestreli kapiller endoteli, glomerüler basement membran (GBM) ve pediseller arası filtrasyon slitleridir. Filtrenin önemli yapıları, bazal lamina ve kapiler endotel hücrelerinin füzyonuyla oluşur.
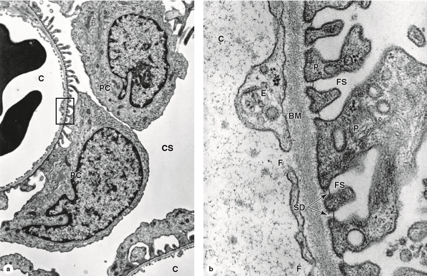
(a) TEM görüntüsünde iki podositin (PC) hücre gövdesini, kapiller (C) üzerinde pedisel uzantılarını ve kapsüler boşluğu (CS) görmekteyiz. Kapsüler boşluğa filtrat (süzüntü) dolmaktadır. Dikdörtgen çerçeve içine alınan bölge (b)’de detaylandırılmıştır. (x10000)
(b) Yüksek magnifikasyonda kapiller (C) endoteli (E) içindeki fenestrasyonlar (delikler) (F) ve pediselleri (P) ayıran filtrasyon slitler (FS) kalın basement membranın (BM) üzerinde görülmektedir. (x45750)
(c) Filtrasyon membranından süzülen
substanslar. Buradaki diyagram glomerüler filtrasyonun üç kısmını ve önemli
fonksiyonlarını özetliyor.
Normal koşullarda,
glomerülüse giren kan plazmasının yaklaşık %20’si süzülerek kapsüler boşluğa
geçebilir. İlk glomerüler filtrat plazma ile kimyasal açıdan benzer olup
protein içeriği bakımından farklılık gösterir.
Tıbbî
Yaklaşım: Proteinüri
Diabetes mellitus ve
glomerülenefritis gibi hastalıklarda, glomerüler filtre fonksiyonu bozulur ve filtre
pek çok proteine geçirimli bir hâl alır. Bunun sonucunda idrarda protein
görülür (proteinüri). Proteinüri, potansiyel pek çok böbrek hastalığının bir
indikatörüdür.
Her bir glomerülün
kapilleri yaklaşık 1 cm total uzunluğa sahip olup özel olarak afferent ve
efferent arteriyollerin arasına konuşlanmıştır. Bu özel konum, filtrasyon
esnasında basıncın yüksek tutulmasında yardımcıdır. Glomerüler filtrasyon hızı (GFR) nöral ve hormonal girilerle sabit
tutulur. Nöral ve hormonal bilgiler, ilgili arteriyollerin kasılmasını
düzenleyerek bu bölgedeki kan basıncını regüle eder. Yetişkin ve sağlıklı bir
bireyde toplam glomerüler filtrasyon alanı yaklaşık olarak 500 cm2 ölçülmüş olup GFR değeri de yaklaşık olarak 125
mL/dk ya da 180 L/gün’dür. Vücutta
sirkülasyon hâlinde bulunan kan plazmasının total değerinin yaklaşık 3 L olduğunu
göz önünde bulundurursak, böbreklerin gün boyunca tüm kanı tamı tamına 60 kez
süzdüğünü iddia edebiliriz.
Kapiler endotel
hücreler ve podositlere ek olarak renal korpüsküller mezanjiyal hücreler (Gr. mesos,
ortada, angion, damar) adı verilen, birçoğu kontraktil özellikleri ve eksternal
lamina komponentleri üretme bakımından vasküler perisitlere benzeyen hücre
tiplerine sahiptir. Esasında mezanjiyal hücreleri rutin seksiyonlarda
podositlerden ayırabilmek güçtür; ancak bu hücreler genellikle daha yoğun
renkte boyanır. Bu hücrelerin matriksi, mezanjiyum
içerir. Mezanjiyum podositlerde bulunmaz. Mezanjiyumun temel fonksiyonları
aşağıda sıralanmıştır:
·
Kapillere fiziksel destek
·
Kan basıncı değişikliklerine cevap
olarak kontraksiyonun düzenlenmesine, yani optimal filtrasyona yardımcı
·
Protein birikintilerinin fagositozu,
patolojik koşullarda biriken antijen-antikor komplekslerinin temizlenmesi
·
Sitokin, prostaglandin ve immün yanıtta
yardımcı diğer faktörlerin sekresyonu
·
Glomerüllerin onarımı
Mezanjiyumun yapısı. (a) Diyagram renal korpüsküldeki mezanjiyal hücrelerin kapiller arasındaki lokasyonunu gösteriyor. Mezanjiyal hücrelerin olduğu bölgelerde podosit proseslerinin bulunmadığına dikkat ediniz. (b) TEM görüntüsünde bir mezanjiyal hücre (MC), onu çevreleyen mezanjiyal matriks (MM) görülüyor. Bu matriks basement membrana (BM) benzer olup pek çok bölgede bu membranla devamlıdır. Mezanjiyal matriks podositlerin bulunmadığı yerlerde kapilleri destekler. Mezanjiyal hücreler, yukarıda oklarla gösterilen yerlerde kontraktil uzantılara sahiptir ve bu prosesler glomerüllere kan akışının regülasyonunda yardımcı olur. Bazı mezanjiyal prosesler endotel hücreleri (EC) arasından geçerek kapiller lümene girebilir (yıldızla gösterilen yerler). Bu lokasyonda lümene giren uzantılar, protein agregalarını endositozla temizleme görevini üstlenebilir. Soldaki kapiller bir eritrosit (E) ve lökosit (L) barındırmaktadır. Podositler (P) ve pediseller (PD) üriner boşluğa (US) açılır ve mezanjiyal hücrelerle kaplanmamış kapiller yüzeyleriyle ilişkilidir. (x3500)
Proksimal
Kıvrımlı Tübül (PCT)
Nefron tübülü ve
toplayıcı sistemin pek çok bölgesine ait hücreler suyu ve elektrolitleri
reabsorbe eder; fakat diğer aktiviteler spesifik tübüler bölgelerde kesintiye
uğrar. Renal korpüskülün tübüler polünde kapsülün parietal katmanının simple
skuamöz epiteli proksimal kıvrımlı tübülün (PCT) simple küboidal epiteliyle
devamlıdır. Bu uzun ve kıvrımlı tübüller korteksin büyük bir kısmını doldurur.
PCT hücreleri reabsorpsiyon ve sekresyonda özelleşmiştir. Su ve
elektrolitlerin yarısından fazlası ile organik besleyiciler (glikoz, aminoasitler, vitaminler…) renal
korpüskülde plazmadan süzülür ama PCT’de geri emilir. Bu moleküller tübüler
duvardan doğrudan geçer ve peritübüler kapiller civarındaki plazmaya katılır.
Transsellüler
reabsorpsiyon hem aktif hem pasif mekanizmalar içerir. Bu geri emilim olayı
transmembran iyon pompaları, iyon kanalları, transporterlar, enzimler ve
taşıyıcı proteinler gibi pek çok molekülle gerçekleştirilir. Su ve bazı belirli
solütler de pasif olarak osmotik gradiente uygun olarak parasellüler transport
olayıyla geçebilir. Süzüntüdeki küçük proteinler ya reseptör kullanılan
endositozla ya da küboidal hücrelerde ve lüminal yüzeyde proteazlar yardımıyla degrede
olarak emilebilir. İki durumda da kapillerlerden emilmek üzere bazolateral
hücre yüzeylerinde aminoasit salınımı olmaktadır.
Organik anyon ve
katyonlar filtredeki polianyonlar veya plazma proteinlerine bağlanma nedeniyle
renal korpüskülden süzülmez. Organik
anyon ve katyon taşıyıcıları böbrekte glomerüler filtrasyonda olandan daha
hızlı bir şekilde bu substansların atımını sağlar. Çünkü bu moleküller safra
tuzları ve kreatinin gibi önemli molekülleri kapsar ve birçok antibiyotik ya da
diğer ilaçları da içerebilir. Tübüler
sekresyon adı verilen bu süreç, ilaçların vücuttan uzaklaştırılması için
oldukça öneme sahiptir. Proksimal tübül hücreleri merkezî bir nükleus ve yoğun
mitokondriden ötürü asidofilik sitoplazmaya sahiptir. Hücre apeksi belirgin bir
brush border tabakası oluşturan çok
sayıda mikrovillüsten meydana gelir. Bu mikrovillüs katmanı, reabsorpsiyon işlevini üstlenir.
Hücrelerin büyük olmasından dolayı, PCT hücrelerinin her birinin transvers
kesitinde 3-5 adet nükleus görülür. Bu hücreler çok çekirdeklidir. Rutin
histolojik preparasyonlarda uzun brush border tabakası disorganize olmuş
olabilir; bu durumda bu tabaka belirgin ayırt edilemez hâle gelir. Peritübüler kapillerler konnektif doku
interstisyumlarında bol bulunur; bunlar korteksin yaklaşık %10’unu doldurur. Bu
hücrelerin apikal sitoplazması, mikrovillüslerin tabanının yanında çok sayıda
vezikül içerir. Bu veziküllerin, ilgili hücrelerin endositoz ve pinositoz
aktivitesini gösterdiği bilinmektedir. Bu veziküller küçük, lizozomda degrede
olan, reabsorbe edilmiş proteinlerle sirkülasyona katılan aminoasitleri içerir.
Proksimal tübüler hücreler ayrıca çokça uzun bazal membran invajinasyonlarına
sahip olup komşu hücrelerle de lateral bağlantılar içerir. Hem “brush border”
tabakası hem de bazolateral katlantılar çok sayıda ve çeşitli transmembran protein barındırır. Bu
proteinler, tübüler reabsorpsiyon ve
sekresyon olaylarında görevlidir. Bazal
invajinasyonlar boyunca konuşlanan mitokondriler, lokal olarak bu membran
proteinlerine ATP desteği ile aktif transportun gerçekleşmesini sağlar. Lateral
membranlardaki yoğun interdijitasyonlar nedeniyle proksimal tübül hücrelerinin
net sınırları ışık mikroskobu altında güçlükle ayırt edilebilmektedir. Bu
hücrelerin esas görevi olan reabsorpsiyon ve sekresyon dışında, hücrelerin D vitamini hidroksilasyonu
gerçekleştirdiği rapor edilmiştir. Ek olarak kortikal alanlardaki interstisyal
hücreler (proksimal tübüllerin yanında), oksijen oranının uzun süreli lokal
olarak düştüğü bölgelerde eritropoietin
üretir.
(a) Mikroskop görüntüsünde, renal korpüskülün
tübüler polü (TP) görülmektedir. Bu
yapı proksimal kıvrımlı tübülün (P)
simple küboidal epitel hücreleri ve kapsülün parietal tabakasının simple
skuamöz epiteli arasında yer alır. Glomerülüs (G) ve parietal tabaka arasındaki üriner boşluk (U) proksimal tübüllerin lümenine drene
olur. Proksimal tübül lümeni, brush border ve bu yapıdaki proteinler nedeniyle
dolu gibi gözükmektedir. Tersine, distal kıvrımlı tübüldeki (D) lümense boş gözükür, çünkü burada
brush border ve buna bağlanan proteinler bulunmaz.
(b) Burada yoğun bir vaziyette
peritübüler kapillerler ve oklarla gösterilen venülleri görmekteyiz. Venül
yapıları, proksimal (P) ve distal (D) kıvrımlı tübüller sarar şekildedir.
(İki görüntü de x400, H&E)
Tıbbî
Yaklaşım: Diyabetik Glomerüloskleroz
Diyabetik glomerüloskleroz,
diabetes mellitus’taki mikrovasküler sklerozun bir parçası olarak GBM’de
fonksiyon kaybı yaratan kalınlaşma ile karakterizedir. Bu koşulda böbrekler
irreversibl olarak kaybedilebilir; hastaya böbrek transplantı ya da yapay
diyaliz işlemi gerekmektedir.
Henle
Kulpu
PCT oldukça kısa
proksimal düz tübülle devam eder. Bu kısa tübüller de medullaya girer ve nefronun Henle
kulpu ile devamlıdır. Henle kulpu, ince
descending kol ve ince ascending koldan
oluşan, U-şekilli bir yapıdır. Bu
iki kol da simple skuamöz epitel ile
kaplıdır. Proksimal düz tübüller, dışta yaklaşık 60 mikron çapındadır; fakat
Henle kulpuna giriş yapılan kısımda bu çap 30 mikrona kadar düşer. İnce
ascending kol, yukarı devam ederek kalın
ascending kolu (TAL) oluşturur. Kalınlaşan kolun epiteli, simple küboidal epiteldir ve burada pek çok mitokondri bulunur.
Kalın ascending kol, dış medulla ve glomerülüsün yanında, arteriyollerle
kontakt yaptığı macula densaya kadar uzanır.
Henle kulpu ve onu
çevreleyen interstisyal konnektif doku, süzüntünün tuz (iyon) kontentini ayarlamada önemlidir. Kulpun TAL dokusunun
küboidal hücreleri, hyalüronattan zengin interstisyuma, konstantrasyon
gradientine karşı olarak sodyum ve klor iyonlarını aktif transport ile atar. Bu mekanizmada, küboidal hücrelerin
mitokondriden zengin sitoplazmanın önemi vardır. Bu işlem sonrasında
interstisyum, hiperosmotik hâle gelir. Bunun sonucunda kulptaki süzüntünün
derişimi de pasif olarak artar. İnce ascending kollar sodyum klorürü (NaCl)
reabsorbe eder; ancak bu kollar suya
geçirimsizdir. Süzüntünün iki paralel ince koldaki karşıakımı
(descending’ten ascending’e) medullar piramitlerin interstisyumunda osmolarite
gradienti meydana getirir. Bu etki, medullanın derinlerinde daha belirgindir.
Vasa rectanın descending ve ascending kulplarındaki kanın karşıakımı da
hiperozmotik interstisyumun korunmasına yardımcı olur. Piramit başlarındaki
isterstisyel osmolarite kandan yaklaşık 4 kat fazladır.
Tübüller,
Henle kulpu ve toplayıcı kanal illüstrasyonları
TEM görüntüsünde proksimal kıvrımlı tübüllerin bazı önemli özelliklerini görmekteyiz. Bunlar uzun, yoğun apikal mikrovillüsler (MV), lizozomların yakınlarında apikal bölgelerdeki yoğun endositotik veziküllerdir (V). Küçük proteinler pinositozla hücre içine alınır, lizozomlarda degrede olur ve bazalden aminoasitler salınır. Komşu hücrelerin apikal uçları zonula occludenslerle kapalıdır; ancak bazolateral taraflar uzun invajine katlantılarla karakterize olup bu bölgede yoğun bir şekilde mitokondri (M) bulunur. PCTlerden salınan su ve diğer küçük moleküller hemen peritübüler kapillerlere geçer (C). Tübülün basement membranı ve kapiller arasında bu görüntüde fibroblast (F) uzantıları vardır. (x10500)
Tıbbî
Yaklaşım: Orak Hücre Nefropatisi
Orak hücre nefropatisi, orak
hücreli anemi nedeniyle rastlanan en yaygın problemlerdendir. Orak hücreli
anemide karşımıza çıkan fonksiyonu ve biçimi bozuk eritrositler vasa rectaya
geldiğinde, bu bölgenin oksijen oranı düşük olduğundan bu sorunla karşılaşırız.
Nefropati sonucunda renal piramit ve papillalarda renal enfarktüsler gelişir.
Distal
Kıvrımlı Tübül & Jukstaglomerüler Aparat
Nefronun ascending kolu
kortekse girdiği ve macula densayı oluşturduğu bölgede düzdür; distal kıvrımlı
tübüllere (DCT) geldiğinde ise kıvrılır. Bu bölgede, proksimalde olduğundan
daha az tübüler reabsorpsiyon gerçekleşir. Distal
tübülün simple skuamöz epiteli proksimalin skuamöz epitelinden belirli noktalarda
ayrılır. Bu farklılıklara örnek olarak distalde daha küçük epitel hücreleri,
brush border (mikrovillüs tabakası) bulunmaması ve daha boş görünen lümen
verilebilir. Çünkü distal kıvrımlı tübül hücreleri daha düz formludur ve
tipik seksiyonlarda daha fazla nükleus görülür. Bu hücreler ayrıca
proksimaldeki hücrelerden daha az mitokondriye sahiptir; bu durum distal
hücrelerin daha az asidofilik olduğu gösterir. Na+ absorpsiyonu hızı
burada, adrenal bezlerden salgılanan aldosteron
hormonuyla regüle edilir.
Renal korpüskülün
vasküler polündeki arteriyollerle kontakt kuran düz distal tübül, burada daha
kolumnar ve sıkı paketlenmiş bir forma girer, buna macula densa adı verilir. Bu jukstaglomerüler
aparat (JGA) denen özelleşmiş duyu
yapısının bir parçası olup glomerüler kan akışını ve glomerüler filtrasyonu
düzenler. JGA Macula densa hücreleri tipik olarak apikal nükleus, bazal Golgi
kompleksi ve çeşitli iyon kanallarıyla transport sistem elemanları içerir.
Macula densanın komşuluğunda afferent arteriyollerin tunica media hücreleri de jukstaglomerüler granüler (JG) hücreler
olarak özelleşmiştir. Bu hücreler daha sekretör fenotipli hücreler olup yuvarlak
nükleus, granüllü endoplazmik retikulum, Golgi kompleksi ve renin moleküllü
zimogen granülleri içerir. Ayrıca vasküler polde lacis hücreleri yer alır. Bunlar ekstraglomerüler mezanjiyal
hücreler olup destekleyici ve savunucu görevleri vardır.
Artan arteriyal basınç,
glomerül kapilerlerindeki basıncı da artırır. Bunun sonucunda GFR artar. Yüksek
GFR nefron TAL’ında yüksek luminal Na+ ve Cl-
konsantrasyonuna neden olur. Lümendeki artan iyon konsantrasyonu bu hücrelerin
ATP, adenozin ve diğer vazoaktif bileşiklerin salınımını uyarır ve afferent
arteriyolün kontraksiyonu gerçekleşir. Neticede glomerüler basınç ve GFR düşer.
Düşen basınç, bir seviyeden sonra vazokonstriktörlerin salınımını engelleyerek
basınç dengelenir.
Düşen arter basıncı JGA’nın
otonomik stimülasyonunu sağlar. Bu işlev, bölgedeki lokal baroreseptörler vasıtasıyla gerçekleştirilir. Baroreseptörlerin
uyarımıyla, JG hücrelerinden kana renin salıverilir. Kandaki renin, bir
plazma proteini olan anjiyotensinojeni
anjiyotensin I’e çevirir. Akciğer
kapillerindeki anjiyotensin-dönüştürücü enzimler (ACE) de anyijotensin II oluşumunu sağlar. Anjiyotensin I, damarlar üzerinde
inaktif iken, anjiyotensin II formu potansiyel bir vazokonstriktördür.
Damarları daraltarak sistemik kan basıncını artırır, bu durum da adrenallerden aldosteron salınımını indükler.
Aldosteron distal kıvrımlı tübüller ve toplayıcı kanallarda sodyum ve su
reabsorpsiyonunu sağlar; bu durum da kan hacmini artırarak kan basıncının
yükselmesine yardımcı olur.
(a) Mikroskop görüntüsünde medüller piramit transvers kesilmiştir. Elde edilen görüntüde pek çok Henle kulpunun kesiti, descending ve ascending kollar (T), kalın ascending (A), vasa recta kapilleri (C) ve toplayıcı kanal (CD) belirgindir. Tüm bu strüktürler hidrofilik hyalüronattan zengin matrikse sahip bir interstisyum (I) içerisindedir. Interstisyal dokunun bu özel doğası farklı iyon ve su konsantrasyonlarında nefron içerisindeki süzüntünün ve kan basıncının regülasyonunun sağlanmasında yardımcıdır. (x400, Mallory trichrome)
(b) TEM görüntüsünde interstisyumun (I) fibröz yapısı ve ince kolların simple skuamöz epiteli (T) görülmektedir. Ayrıca onlardan biraz daha kalın olarak görülen vasa recta kapilleri belirgindir (C). (x3300)
Toplayıcı
Kanallar
Nefronların son partı, connecting tübüller, süzüntüyü
toplayıcı sisteme getirir. Toplayıcı kanallara dökülen filtrat, buradan minör
kalikslere gelir. Bu aşamada, eğer vücuda su gerekiyorsa bir miktar
reabsorpsiyon gerçekleşebilir. Connecting tübüller her bir nefrondan, bazıları
da medullary rayde birleşerek toplayıcı
kanalları meydana getirir (Bu kısmın genel illüstrasyonu yukarıda
verilmiştir.). Toplayıcı kanallar simple küboidal epitelden meydana gelip
yaklaşık 40 mikron çapındadır. Dış
medullada bu kanallar daha büyük ve düz toplayıcı kanallar meydana getirir (Bellini kanalları). Bellini kanalları medüller
piramitlerin uçlarına ulaşırken, epitel doku da artan bir şekilde kolumnar hâl alır, bu arada kanalın çapı
da 200 mikrona kadar çıkar.
Piramitlerin apeksinde birkaç toplayıcı kanal, papiller kanal oluşturmak üzere birleşir. Papiller kanallar, idrarı minör kalikse getirir. Medüller toplayıcı
kanallar, Henle kulpunun kolları ve vasa rectaya paralel uzanır. Toplayıcı
kanallar temel olarak solgun boyanan principal
hücrelerden oluşur. Principal hücrelerin seyrek mikrovillüsleri (belirgin
olmayan brush border tabakası), az sayıda organeli ve belirgin hücre sınırları
vardır. Bu hücrelerin, iyon transportu fonksiyonlarıyla tutarlı olarak bazal
membran katlantıları olduğu görülebilir. Ek olarak mikrovillüsler arasında primer siller bulunabilir. Medüller toplayıcı kanallar, filtrattan su
absorpsiyonunun olduğu son kısımdır. Principal hücreler özel olarak aquaporinden zengindir. Aquaporinler,
su moleküllerinin membrandan transportu için özelleşmiş proteinlerdir; fakat bu
hücrelerin aquaporinleri çok büyük oranda membranöz sitoplazmik veziküllerde
bulunur.
Antidiüretik Hormon
(ADH ya da Vazopressin), pitüiter bezden vücut dehidrasyonu koşullarında
salınır. ADH toplayıcı kanalları suya daha geçirgen hâle getirerek ve osmotik
olarak filtrattan su çekerek suyun geri emilimini artırır. Bazolateral hücre
yüzeylerindeki ADH, ADH reseptörleri ile aquaporin içeren veziküllerin apikal
(luminal) membrana hareketini stimüle eder, membran kanalı sayısı artarak
dıştaki su hücreye girmeye başlar. Interstisyumun yüksek osmolaritesi de toplayıcı
kanallardan pasif olarak suyun çekilmesine neden olup filtratı koyulaştırır.
Böylece vücuttaki su korunur.
Principal hücreler
arasında nispeten yoğun renkte görünen interkalar
(IC) hücreler bulunmaktadır. Bu
hücrelerde yoğun mitokondri ve apikal katlantılar vardır. Interkalar hücreler,
kısmen DCT hücrelerinde de bulunabilmektedir. Bu hücrelerin başlıca görevi H+ ve HCO3- salarak asit-baz dengesini korumaktır.
Jukstaglomerüler Aparat (JGA) mikroskop görüntüsü. JGA nefronun distal tübülü (D) ve glomerülüsün vasküler polü (G) arasındaki bir kontakt noktası oluşturur. Bu noktada distal tübül hücreleri daha kolumnar ve kalındır; buna macula densa (MD) denir. Afferent arteriyollerin (AA) tunica mediasındaki düz kas hücreleri jukstaglomerüler hücreler biçiminde kontraktil özellikten sekretör özelliğe doğru morfoloji değiştirir. Burada ayrıca Lacis hücreleri (L) bulunur; bu hücreler ekstraglomerüler mezanjiyal hücreler olup macula densanın, afferent arteriyolün ve efferent arteriyolün (EA) komşuluğundadır. Bu örnekte proksimal tübül (P) lümeni dolu, üriner boşluk da (US) şişkin görünmektedir. (x400, Mallory trichrome)
Tıbbî
Yaklaşım: Böbrek Taşı
Üreterleri tutan yaygın bir
problem, renal pelvis ya da kalikslerde oluşup üreter yolunu tıkayan böbrek
taşlarıdır (renal kalkülüs). Böbrek taşı içeriği kalsiyum tuzları (okzalat,
fosfat) veya ürik asit olabilmektedir. Ürik asitten kaynaklanan taşlar
genellikle düz ve küçük olurken kalsiyum taşları daha büyük olup mukozayı
zedeleyebilir. Böbrek taşları genellikle asemptomatiktir, oluşum esnasında
herhangi bir ağrı olmadığı için onları tespit etmek zordur. Ancak taş
oluştuktan sonra taşın renal pelvisten üretere doğru gidip burada yolları
tıkaması, bireye, tıkanıklığın olduğu tarafta çok büyük bir ağrı verir. Böbrek
taşı problemleri cerrahî operasyonla ya da ultrasonik şok dalgalarıyla taşların
kırılması suretiyle çözülebilmektedir. Bu işlemler, böbrekte sıklıkla hasara
neden olmaktadır.
Üreterler,
İdrar Kesesi & Üretra
İdrar, renal pelvisten
idrar kesesine (mesane) üreter yoluyla taşınır. İdrar, idrar kesesinde üretra
yoluyla atılana dek, geçici olarak depolanır. Kaliksler, renal pelvis, üreter
ve idrar kesesi kısmen benzer histolojik yapılara sahiptir; ancak saydığımız
yapılar boyunca duvarlar dereceli olarak kalınlaşır. Bu organların mukozası stratifiye transisyonel epitel ile
kaplıdır. Bu epitele özel olarak ürotelyum
da denir. Bu epitelin hücreleri üç katmanda organizedir:
·
Oldukça ince basement membran üzerinde uzanan
küçük bazal hücrelerin tek katlı katmanı
·
Bir ya da birkaç kolumnar hücre
tabakasından oluşan ara bölge.
·
Oldukça geniş, soğan şekilli umbrella (şemsiye) hücrelerinden oluşan
süperfisyal tabaka (Bu hücreler bazen iki ya da daha çok çekirdekli olup
kapladığı alt tabakanın uğrayabileceği muhtemel sitotoksik etkilere (örneğin
hipertonik idrar) karşı oldukça özelleşmiş hücrelerdir.)
Umbrella hücreleri
özellikle idrar kesesinde daha gelişmiştir, idrarla temas hâlinde olan yüzeyde
ise maksimum sayıdadır. Yaklaşık 100 mikron çapa ulaşabilen bu hücreler yoğun
intrasellüler bağlantı kompleksleri ve özgün apikal membran içerir. Apikal
yüzeyin neredeyse tamamı asimetrik ünit
membranlardan oluşur. Bu bölgeler uroplakin adı verilen proteinleri içeren
lipid yapıları içerir. Uroplakinler, paracrystalline plaklar içerine monte
hâldedir. Bu membranöz plaklar suya geçirimsizdir. Plaklar birlikte membranın
daha dar bölgeleri tarafından açılıp kapatılabilir. İdrar kesesi boşaldığında
mukoza hücreleri yoğun bir şekilde kıvrımlar yapar; ancak umbrella hücreleri apikal
yüzey alanlarını membranlarını katlayarak ve veziküller oluşturarak azaltır.
İdrar kesesi tekrar dolduğunda diskoid veziküller apikal membranlara katılır,
yüzey alanı artar. Ürotel incelir, artan idrar hacmine paralel olarak epitel
hücreleri akodomasyona uğrar.
Ürotelyum kıvrımlı
lamina propria ve submucosa ile sarılır, bunu adventisya tabakası ve düz kas
hücreleri takip eder. İdrar renal pelvisten idrar kesesine doğru üreterlerin
peristaltik hareketleriyle iletilir.
İdrar kesesinin lamina
propriası ve submukozanın dense irregular konnektif dokusu oldukça
vaskülerizedir. Yetişkin ve sağlıklı bir bireyde idrar kesesi yaklaşık 500 mL
idrarı depolayabilir. 150 – 500 mL idrar varlığında idrarı atmaya yönelik baskı
hissedilir. Muscularis tabakası, detrusor
kas adı verilen üç katmanlı bir kas yapısından oluşur ve bu kaslar idrar
kesesini boşaltacak kaslardır. Üç katmalı kas yapısı, en rahat üretranın
yanındaki idrar kesesi boynunda gözlenir. Üreterler idrar kesesi boyunca oblik
olarak geçer ve idrarın geriye dönmesini engelleyen yapılar barındırır. İdrar
kesesinin üst kısmı dışındaki tüm idrar pasajları dıştan advestisyal tabaka ile
çevrilidir. İdrar kesesinin üst kısmı ise seröz periton ile örtülüdür.
Üriner sistemden sıvı akışı.
(a) Filtrat akışını gösteren toplayıcı
kanal ve nefron diyagramı.
(b) Filtrat minör kalikse geldiğinde artık herhangi bir reabsorpsiyon ya da sekresyon olayı görülmez. Bu nedenle kalikse gelmiş süzüntüye idrar adı verilir. Kalikslerdeki idrar renal pelvise pasif olarak geçer; ancak idrar kesesine ulaşana dek üreterlerde peristaltik hareketlerle aktarılır. Burada geçici olarak depo edilen idrar, belli bir miktarın üzerine çıktıktan sonra uyarı ile üretradan vücut dışına atılır.
(b) Filtrat minör kalikse geldiğinde artık herhangi bir reabsorpsiyon ya da sekresyon olayı görülmez. Bu nedenle kalikse gelmiş süzüntüye idrar adı verilir. Kalikslerdeki idrar renal pelvise pasif olarak geçer; ancak idrar kesesine ulaşana dek üreterlerde peristaltik hareketlerle aktarılır. Burada geçici olarak depo edilen idrar, belli bir miktarın üzerine çıktıktan sonra uyarı ile üretradan vücut dışına atılır.
Toplayıcı kanalları mikroskobik görüntüsü. Kolumnar principal hücreler (ADH tarafından regüle edilen aquaporinlerle su emilimi sağlayan hücreler) toplayıcı kanallar (CD) üzerinde görülüyor. Dışarıda vasa rectalı (VR) interstisyum bulunmaktadır. (x600, PT)
Tıbbî
Yaklaşım: Piyelonefrit
Üriner traktın bakteriyel enfeksiyonu, kalikslerin ve renal pelvisin
iltihaplanmasına yol açabilir; buna piyelonefrit
adı verilir. Akut piyelonefritte bakteriler sıklıkla bir ya da daha fazla minör
kaliksten ilgili renal papillalara ulaşır, bu koşullarda toplayıcı kanallarda
yoğun bir biçimde nötrofil akümülasyonu gözlenir.
Renal papillanın (RP) sagittal seksiyonu çok sayıda toplayıcı kanal ve Bellini kanallarını gösteriyor. Bu yapılardaki süzüntü, neticede minör kalikse (MC) ulaşır. Kaliks mukozası burada mavi boyanmış olan dense konnektif doku ve adipoz doku (A) içerir. Kanallar inerstisyal doku içerisine gömülü olup ayrıca Henle kulpu ve ince kollar görünmektedir. (x50, Mallory Trichrome) Ek: Yakınlaştırılmış alanda toplayıcı kanalların kolumnar epiteli (C), interstisyum (I), ince kollar (T) ve minör kaliks üzerinde uzanan koruyucu ürotelyum (U) görülmektedir. (x200)
Tıbbî
Yaklaşım: Sistit
Sistit,
idrar kesesi mukozasının iltihaplanması olup bu organı tutan en yaygın problemlerdendir.
Bu iltihaplanma üriner trakt enflamasyonlarında yaygın olarak görülür; ancak immünyetmezlik,
üriner katheterizasyon, radyasyon ve kemoterapi gibi nedenlere de sahip
olabilir. Kronik sistit stabil olmayan ürotelyuma da neden olabilir. Bu durumda
ürotelyumda hiperplazi ve metaplazi gibi iyi huylu birtakım değişiklikler
olabilir. İdrar kesesi kanseri ise, ürotelyumdaki hücre karsinomlarıdır.
Üretra,
idrar kesindeki idrarı dış çevreye atan tüp yapısıdır. Üretral mukoza belirgin
longitudinal kıvrımlar içerir ve bu özgün yapı, alınan mikroskobik örneklerde
üretranın ayırıcı özelliğini oluşturur. Erkeklerde ejakülasyonda sperm
transportu için prostat bezinde iki kanal üretraya katılır. Erkek üretrası daha
uzundur ve üç segmentten meydana gelir:
·
Prostatik
üretra: 3-4 cm uzunluğun olup prostat bezi boyunca uzanır.
Ürotelle kaplıdır.
·
Membranöz
üretra: kısa segmenttir. Ekternal sfinkter boyunca geçer
ve stratifiye kolumnar ile psödostratifiye epitel içerir.
·
Spongy
üretra: yaklaşık 15 cm uzunluğundadır. Penisin erektil
dokusu içine girer. Stratifiye kolumnar ve psödostratifiye kolumnar epitele
sahiptir. En uçta ise stratifiye skuamöz epitel barındırır.
Kadınlarda üretra
bütünüyle üriner organdır. Kadın üretrası yaklaşık 4-5 cm uzunluğunda olup baş
kısmında transisyonel epitel, ardından stratifiye skuamöz epitelden oluşur.
Bazı bölgelerde psödostratifiye kolumnar epitel bulunur. Kadın üretrasının orta
kısmında eksternal çizgili kas sfinkteri bulunur.
(a)
Üreter
kross seksiyon diyagramı longitudinal kıvrımlı mukozanın karakteristiklerini
yansıtmaktadır. Bu mukoza peristaltik hareketlerle idrarı mesaneye aktaran
kalın muscularis tabakasıyla çevrelenmiştir. Lamina propria özgün stratifiye
epitel ile çevrilir. Bu epitele transisyonel epitel ya da ürotelyum denir.
Ürotel tabakası hipertonik idrarın olası zararlı etkilerine karşı dayanıklıdır.
(b) Histolojik olarak muscularis (Mu) tabakası mukozadan (M) ve adventisyadan (A) kalındır. (x18, H&E)
(b) Histolojik olarak muscularis (Mu) tabakası mukozadan (M) ve adventisyadan (A) kalındır. (x18, H&E)
(a) İdrar kesesinin boyun kısmında, üretranın yanında, duvar dört katmanlı yapı gösterir: ürotelli mukoza (U), lamina propria (LP), ince submukoza (S), düz kas tabakaları (iç, orta, dış)(IL, ML, OL) ve adventisya (A). (x15, H&E)
(b) İdrar kesesi boşken mukoza belirgin şekilde kıvrımlıdır ve ürotelyum (U) şişkin umbralla hücrelerine sahiptir. (x250, PSH)
(c) İdrar kesesi dolu iken mukoza düz görünür, ürotelyum (U) incelir ve umbrella hücreleri düzleşir. (x250, H&E)
Üretra, idrar kesesindeki idrarı vücut dışına atan fibromusküler tüptür.
(a) Transvers kesitte lümen (L) etrafında longitudinal kıvrımlı mukozayı görüyoruz. (x50, H&E)
(b) Soldaki görüntüde işaretlenen alanın daha yüksek magnifikasyonunda ise üretral epitelin (E) stratifiye kolumnar yapısını görüyoruz. Bu kalın epitel örtü bazı yerlerde psödostratifiye kolumnar hâlini alabilir; fakat distalde üretra muhakkak stratifiye skuamöz epiteldir. (x250, H&E)
Tıbbî
Yaklaşım: Üriner Trakt Enfeksiyonları
Üriner
trakt enfeksiyonları genellikle Chlamydia isimli bakteriden kaynaklanır. Sıklıkla üretrit görülür ve kadınlarda
çoğunlukla kısa üretra nedeniyle sistit
rastlanır. Bu enfeksiyonlar genellikle idrar yapmada zorluk ve sık idrara çıkma
sorunlarıyla birlikte gelir. Üretrit, ürinasyon esnasında şiddetli ağrıya neden
olabilir (disüri).
Hazırlayan:
Necdet Ersöz (Gazi Üniversitesi Tıp Fakültesi)
Referanslar:
Anthony L. Mescher, Junqueira’s Basic Histology Text
& Atlas, 13th Edition, McGraw-Hill Education, 2013



















Çok Teşekkürler.
YanıtlaSilÇok güzel bir yazı olmuş teşekkürler
YanıtlaSilçok faydalı olmuş hocam. Emeğiniz için çok teşekkürler.
YanıtlaSil